
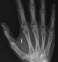
So, it has been 6 months since i had my implant put in. Aside from occasional irritation, usually due to nonstop typing all day, I am doing just fine. No cancer, rejection, or government tracking. Since i am a diabetic, i still have a small dot on my hand from the hole that was made, but it is almost invisible at this point. I've been using it to start my car for about as long and I have to say that it works flawlessly.
There really isn't much more to say than that. I had been so eager to get this post done, and highlight all of the wonderful things i have done with this technology so far, but I just haven't had the time or money to make those dreams a reality. I am hoping that soon enough, I will be able to proceed with my original plan of automating my home and workplace to show everyone what a great help this technology can actually be.
Do you want to help me with my projects? Email me or use the donate button on the right to help contribute. I can always use fresh ideas and fresh money to help things along!
No comments:
Post a Comment